Hematopoietic malignancies can have ocular involvement in up to 50% of cases. It has been established that over 40% of leukemia patients have ocular manifestations, either in the form of a hyperviscosity syndrome or via direct ocular invasion by tumor cells. At time of death, patients had a prevalence of 80% to 82% of ocular involvement in both acute and chronic blood malignancies.1,2
Lymphomas and leukemias have been noted to involve the uveal tract, subretinal space, retina, vitreous, and aqueous humor. Ultrasonographic evidence of intraocular invasion includes vitritis, as well as choroidal and scleral thickening, optic nerve infiltration, elevated chorioretinal lesions, and retinal detachment. Patients with ocular involvement are often evaluated for synchronous central nervous system (CNS) disease, due to the proximity of these 2 conditions.
Cytology, cell markers, and cytokine studies are critical in the diagnosis of systemic lymphoproliferative disease and can also be used to establish the diagnosis of intra-ocular lymphoma. Such lymphomas are typically composed of monoclonal lymphocytes that stain for B-lymphocyte markers such as CD19, CD20, and CD22. Cytomorph-ology, immunohistochemistry, and flow cytometry are also employed.3 Additional tests include MYD88 as well as Interleukin-6/Interleukin-10 ratios to better understand the genetic makeup of the malignancy and distinguish lymphoma from infection. Vitrectomy has been the gold standard to obtain a biopsy of the malignant cells while also allowing the collection of a large enough sample to perform many of the aforementioned tests.
In certain situations, there may be limitations to obtaining a sample in such patients via vitrectomy, including operating room and surgeon availability. More importantly, patients with a diagnosis of a systemic malignancy are often too debilitated to undergo general anesthesia or, given their goals of care, are not willing to undergo surgery. Vitrectomy also poses the risk of retinal breaks, retinal detachment, and a greater likelihood of cataract formation. The role of anterior chamber paracentesis in the diagnosis of vitreoretinal processes has been validated given its use for polymerase chain reaction (PCR) testing in the diagnosis of infectious uveitides. Moreover, its convenience as an in-office or bedside procedure further allows for a faster route to diagnosis with decreased risk for the patient.
HISTORY AND CASE PRESENTATION
The first of 2 cases to be discussed here involves a 59-year-old male with a history of biopsy-proven diffuse large B-cell lymphoma (DLBCL), who presented with left eye pain and injection. He had previously received 6 cycles of rituximab, cyclophosphamide, and hydroxydaunorubicin hydrochloride (RCHOP), and 2 doses of prophylactic intrathecal methotrexate over the course of several hospitalizations. He also underwent radiotherapy to the right side of his face as well as to both testicles. After a period of remission he was found to have relapsed, and received 3 cycles of rituximab, ifosfamide, carboplatin, and etoposide (RICE) treatment and an autologous stem cell transplant, after which he was again considered in remission until presentation.
He reported a 1-month history of left eye redness, decreased vision, and pain. His visual acuity was 20/200 in the left eye. Exam was notable for injection, salmon-colored conjunctival lesions at the 6 o’clock and 10 o’clock positions, keratic precipitates, a 2.1-mm hypopyon mixed with scant blood, 3+ white cells in the anterior chamber, and neovascularization of the iris (Figure 1). Dilated fundus exam revealed a few dot-blot hemorrhages in the mid-periphery, but no evidence of vitritis, which was harmonious with B-scan ultrasonography.
We performed an anterior chamber tap with a 30-gauge needle and intravitreal injection with vancomycin and ceftazidime to empirically cover for endogenous endophthalmitis. He was also started on antiviral prophylaxis. The anterior chamber tap was sent for flow cytometry, optic culture, and gram stain, which proved negative for infectious etiology and positive for CD10+ mature B-cell lymphoma (Figure 2). MRI orbits showed mild inflammatory changes to the left conjunctiva, anterior chamber, anterolateral sclera, left lacrimal gland, and paranasal sinuses. A lumbar puncture was performed, and cytology and cytometry studies were congruent with our anterior chamber paracentesis. He was given intravitreal bevacizumab because of the iris neovascularization and started on a regimen of intravitreal and intrathecal methotrexate. He was also given ibrutinib at oncology’s recommendation. Due to the patient’s advanced stage of disease and waning mental status, we paused intraocular therapy at his wife’s request.
The second case involves a 7-year-old boy with a history of previously treated acute lymphoblastic leukemia, with multiple relapses and a history of noncompliance, who presented with injection in his right eye. His past medical history was extensive, and he was previously treated with chemotherapy, chimeric antigen receptor (CAR) T-cell therapy, and inotuzumab at an outside hospital. Of note, the family had refused stem cell transplant there. He also received blinatumomab as part of a clinical trial for children with a first relapse of B-cell lymphoblastic leukemia (protocol AALL1331).
His mother noted a 5-day history of redness in the right eye prior to presentation. Upon examination, the patient’s vision was hand motion in both eyes. Anterior segment examination of the right eye revealed mild chemosis, redness, iris neovascularization, and a 1-mm pink hypopyon. No keratic precipitates were noted. Vitritis was noted on B-scan ultrasonography. The left optic nerve was noted to be severely edematous, with obscuration of the peripapillary vessels. At this juncture, anterior chamber paracentesis was performed with a 30-gauge needle under ketamine sedation in the emergency department to rule out any infectious process and sent for PCR testing. Two hours later, the anterior chamber was re-formed and a repeat tap was performed, removing 0.2 mL of aqueous fluid. The pathology laboratory was notified of a sample to be sent for flow cytometry and cytology and to be processed in RPMI media.
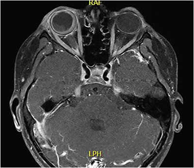
Flow cytometry revealed CD45, CD34, CD10, and CD20 positivity, along with abnormal B-cell population. MRI of the orbits revealed diffuse choroidal/subretinal involvement and likely extension along the right optic nerve sheath, along with protrusion and enhancement of the left optic disc (Figure 3). Given the optic nerve findings, radiation oncology was consulted for evaluation and initiation of emergent radiotherapy.
DISCUSSION
Both patients in our series presented with hypopyon in the setting of a known history of lymphoproliferative malignancy. Both patients underwent diagnostic confirmation of ocular spread of their systemic disease using anterior chamber paracentesis, rather than the gold standard of vitreoretinal biopsy, which yielded useful and confirmatory results.
Given the limited sample that could be acquired with anterior chamber paracentesis, the samples were tested for cytology and flow cytometry, which in our experience have a higher sensitivity for diagnosis. We decided against testing for IL-10/IL-6 ratio or MYD88 gene recombination, which would likely be more helpful in cases of primarily vitreoretinal involvement or cases of diagnostic uncertainty.
Interestingly, the hypopyon in both cases was intermixed with blood. The presence of a hypopyon with overlying hemorrhage increases our suspicion for a lymphomatous or leukemic process. Iris neovascularization and ischemia go hand in hand with lymphoproliferative tumors. As the malignant process intensifies, the “vascular endothelial growth factor drive” follows.4 As an aside, there are cases of neovascularization of the disc and vitreous hemorrhage in the setting of leukemias. This could be secondary to vascular occlusion, hyperviscosity, or even direct tumor cell invasion.5
Finger et al describe a case series in which 4 patients with nonocular lymphoma and steroid-refractory anterior chamber cells were diagnosed using anterior chamber paracentesis alone.6 In this series, although the patients did not present with a hypopyon, in the 4 cases the anterior paracentesis yielded diagnostic results, with 3 of them being conclusive for a lymphomatous process. It is important to note the increase in yield with the use of cytospin to appropriately concentrate the malignant cells in the precipitate. Of note, they used a 25-gauge needle in their cases. In the 2 cases described above, a 30-gauge needle was used without any evidence of destruction of the sample, as we still obtained a good diagnostic yield.
In some reports, the presence of a hypopyon portends a worse prognosis than vitreous involvement alone. It is believed that the precipitation of cells which translate into the development of a hypopyon could signal a blast crisis which often leads to abrupt deterioration of the patient.7
With regard to management, it is important to note that known malignancy might predispose patients to opportunistic infections. Patients should be treated with systemic antivirals until an infectious process has been ruled out. Systemic antibiotics should also be considered in the setting of positive blood cultures. In our experience, known history of malignancy also increases the positivity of the sample.
CONCLUSION
Performing an anterior chamber paracentesis in the setting of a known systemic malignancy has a high sensitivity, in our experience. Specimen handling is essential, as well as having a close relationship with the pathology laboratory. Ensuring prompt delivery of the sample for flow cytometry and cytology is paramount. Anterior chamber paracentesis has proven to be a viable alternative in patients in which obtaining vitreous samples could be complicated by the patient’s underlying condition. NRP
REFERENCES
- Schachat A, ed. Ryan’s Retina. 6th ed. Elsevier, 2018:2660-2674.
- Allen RA, Straatsma BR. Ocular involvement in leukemia and allied disorders. Arch Ophthalmol. 1961;66:490-508. doi:10.1001/archopht.1961.00960010492010
- Green WR. Diagnostic cytopathology of ocular fluid specimens. Ophthalmology. 1984;91(6):726-749. doi:10.1016/s0161-6420(84)34253-1
- Guo B, Liu Y, Tan X, Cen H. Prognostic significance of vascular endothelial growth factor expression in adult patients with acute myeloid leukemia: a meta-analysis. Leuk Lymphoma. 2013;54(7):1418-1425. doi:10.3109/10428194.2012.748907
- Rosenthal AR. Ocular manifestations of leukemia: a review. Ophthalmology. 1983;90(8):899-905. doi:10.1016/s0161-6420(83)80013-x
- Finger PT, Papp C, Latkany P, Kurli M, Iacob CE. Anterior chamber paracentesis cytology (cytospin technique) for the diagnosis of intraocular lymphoma. Br J Ophthalmol. 2006;90(6):690-692. doi:10.1136/bjo.2005.087346
- Belmont JB, Michelson JB, Bordin GM. Ocular inflammation associated with chronic lymphocytic leukemia. J Ocul Ther Surg. 1985;4:125-129.







