Neuroretinitis is a not a very frequent condition. It involves inflammation of the optic nerve and the adjacent peripapillary retina including the macula. It was originally described by Leber in 1916 as stellate maculopathy, due to the star-shaped macular distribution of hard exudates.
In the late 1970s, Gass showed that the inflammation began in the optic nerve and then extended to the macula. Using fluorescein angiography (FA), he demonstrated that the leakage origin was not in the macula but in the optic nerve, and proposed the use of the term neuroretinitis.1,2
Neuroretinitis is frequently associated with cat-scratch disease (CSD). However, we must keep in mind that it can also be related to syphilis, toxoplasmosis, toxocariasis, Lyme disease, Rocky Mountain Spotty Fever, trench fever, histoplasmosis, and leptospirosis.
CASE PRESENTATION
A 37-year-old male presented to the emergency room referring 1 week of blurry vision that started with central halos and had progressively worsened. On the initial evaluation, the patient denies medical history except for chronic sinusitis. He works as a bus driver, and last year at his medical exam to renew his driver license his vision was 20/20 in both eyes. On admission day, his visual acuity (VA) was counting fingers at 2 meters for the right eye (OD) and 20/20 for his left eye (OS). Relative afferent pupillary defect (RAPD) was not present. Cornea and lens were clear; no Tyndall, flare, or anterior vitritis were found.
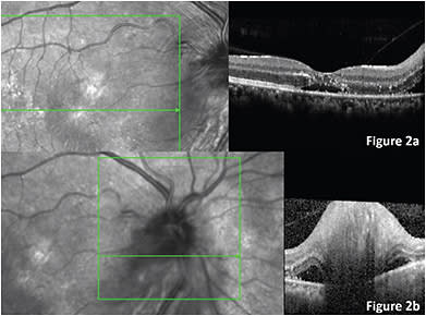
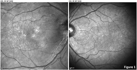
On fundus examination of the OD, optic nerve head (ONH) swelling was found with few peripapillar micro-hemorrhages. In the macula, a star-shaped arrangement of hard exudates was observed. On the left eye, the ONH, macula, and posterior pole showed within normal limits. On general physical exam, oral temperature was 37.5°C (99.5°F) and several skin erosions with fine scaring were observed on both hands and forearms. On spectral domain optic coherence tomography (SD-OCT), important optic disc swelling could be observed, with subretinal fluid inferotemporal to the ONH that extended toward the macula. Diffuse hyperreflective dots between the external limiting membrane and inner nuclear layer were found in the macula, as well as subfoveal subretinal fluid (SRF) (Figures 1 and 2).
After the examination findings, the patient was further asked about his present illness and medical history. He added that approximately a week before starting the vision loss, he presented malaise, feverish sensation, and a mild sore throat that he related to his chronic sinusitis. He added that 2 weeks before the present illness, he presented pain and numbing in his right hand and forearm. He finally revealed that he had gotten some street kittens for his kids, and he ended up with scratches in both forearms and hands.
Positive lab testing results: WBC 14590; neutrophiles 62%; hemoglobin 13.6 mg/dL; platelets 398000; erythrocyte sedimentation rate 30 mm/H (0-15 mm/H for males); C-reactive protein 0.91 mg/dL (0-0.5 mg/dL for males).
Other lab results: HIV 1 and 2 negative; Toxoplasma (IgG and IgM) non-reactive; Treponema pallidum (IgG and IgM) non-reactive; CMV (IgG and IgM) non-reactive; Bartonella henselae IgM was reactive. The patient was assessed by the neurologist and infectious disease specialist, and was admitted in the internal medicine floor. Methylprednisolone IV pulses for 3 days, and doxycycline 100 mg PO bid were started. Then prednisolone at 1 mg/kg was added for 1 week with the respective tapering indications. After 8 days of the treatment, his VA OD was 20/100, the ONH swelling was decreasing, with resolving of the subretinal fluid, but the start-shaped hard exudates persisted (Figure 3). Four weeks later, VA OD was 20/40; subretinal fluid resolved with persistence of the hyperreflective exudates.
NEURORETINITIS DISCUSSION
Neuroretinitis can be classified into idiopathic and infectious. The idiopathic form, also called Leber Neuroretinitis, presents with flu-like and upper respiratory symptoms in about 50% of the patients. The presence of RAPD is less frequent, but inflammatory signs in the anterior chamber and vitreous are more often observed in the idiopathic group. These patients might show recurrent episodes, or consecutive compromise of the fellow eye.1,3
Infectious neuroretinitis also starts with flu-like and upper respiratory symptoms. The initial VA tends to be worse than 20/200 in half of the cases, and less than three-quarters of the patients present with RAPD.
As mentioned before, several pathogens can be related to neuroretinitis, therefore a careful interrogation of the history of present illness, past medical history and review of systems should be performed.1,3,4
The typical patient onset is with painless unilateral acute vision loss, and ONH edema along with peripapillary and macular involvement. On clinical examination, a RAPD may be found. On fundus examination, prominent optic nerve swelling and presence of hard exudates in the macula following the shape of a full or incomplete star will be found. On SD-OCT, the optic nerve edema will be evidenced, as well as presence of subfoveal subretinal fluid, and peripapillary SRF.1,3,4
IDENTIFICATION AND DIAGNOSIS
The differential diagnosis includes papilledema, optic neuritis, nonarteritic ischemic optic neuropathy (NAION), hypertensive retinopathy, and vascular occlusion of the retina, among others. Papilledema is usually bilateral, and always related to increased intracranial pressure. Though neuroretinitis is a form of optic neuritis, it is painless, and it is not related to multiple sclerosis or other demyelinating diseases.
Exudates are also present in papilledema, optic neuritis, and NAION, but they are mostly limited to the retina surrounding the swollen ONH. Grade 4 hypertensive retinopathy will show exudates, cotton wool spots, and ONH edema; the distribution of exudates and cotton wool spots in the macula may recall a neuroretinitis. Central retinal vein occlusions and some combined retinal vein and artery occlusions can present with ONH swelling and a macular distribution of hemorrhages and exudates that may resemble a star shape.1,3,4
Neuroretinitis involves inflammation of the ONH vessels with subsequent exudation of fluid and lipidic material to the surrounding retina and to the macula. The exudated lipidic material remains in the outer plexiform and adjacent layers, and the characteristic radial arrangement of the Henle’s fibers in the macula is responsible for the star-shaped distribution of the lipidic exudates. The fluid is ultimately collected in the subretinal space.
As mentioned above, Gass in the late ’70s, was the first to demonstrate that the origin of the inflammation was in the ONH. Other authors have proposed that the exudation starts in a particular ONH vessel, rather than diffusely from all the ONH. However, the exact mechanisms related to this inflammation are not yet known.
Due to the flu-like prodromic symptoms, a viral etiology has been proposed. Induced viral autoimmune response or direct infection of the ON have been suggested as possible mechanisms. Other authors have proposed that this local vasculitis can be induced by pathogens with vasculature predilection as in cat-scratch disease.1-6
CAT-SCRATCH AND NEURORETINITIS
Cat-scratch disease, also known as subacute regional lymphadenitis, is caused by Bartonella henselae. The Bartonella is inoculated through a cat bite or scratch, or after licking an open wound. Kittens and younger cats are more likely to spread the disease. After the bite or scratch, a blister or papule can be observed; after 1 to 2 weeks a regional lymphadenopathy can be found. This swollen adenopathy can be painful and, in some cases, may drain through a fistula. In this stage, fever, malaise, and anorexia can be present.
Spontaneous resolution is observed in most of the patients. Around 10% to 12% of the patients can develop unusual manifestations, including Parinaud oculoglandular syndrome, neurologic manifestations, and granulomatous hepatosplenic disease. Parinaud oculoglandular syndrome is the most frequent ophthalmologic presentation of cat-scratch disease. It accounts for conjunctivitis associated to conjunctival granulomas and preauricular nodes.7-9
As mentioned in previous lines, there are multiple pathogens associated with infectious neuroretinitis. Hence, special attention should be taken with immunocompromised patients, as toxoplasmosis and syphilis can manifest as neuroretinitis. In every patient with neuroretinitis, HIV should be tested; and in every HIV or immunocompromised patient with neuroretinitis, toxoplasma and syphilis must be studied.
As per the presented case, the typical onset of a neuroretinitis was found, and the epidemiological contact to the possible origin of infection was established. With systemic steroid and antibiotic treatment, the curse of the disease was satisfactory with progressive recovery of VA.
The review of systems, the systemic exam, as well as an appropriate laboratory workup are particularly important steps that can lead to success in the diagnosis and treatment in these patients. NRP
REFERENCES
- Purvin V, Sundaram S, Kawasaki A. Neuroretinitis: review of the literature and new observations. J Neuroophthalmol. 2011 Mar;31(1):58-68.
- Gass JD. Diseases of the optic nerve that may simulate macular disease. Trans Sect Ophthalmol Am Acad Ophthalmol Otolaryngol. 1977;83(5):763-770.
- Abdelhakim A, Rasool N. Neuroretinitis: a review. Curr Opin Ophthalmol. 2018;29(6):514-519.
- Solley WA, Martin DF, Newman NJ, King R, Callanan DG, Zacchei T, et al. Cat scratch disease. Posterior segment manifestations. Ophthalmology. 1999:106:1546–1553.
- Kitamei H, Suzuki Y, Takahashi M, Katsuta S, Kato H, Yokoi M, et al. Retinal angiography and optical coherence tomography disclose focal optic disc vascular leakage and lipid-rich fluid accumulation within the retina in a patient with Leber idiopathic stellate neuroretinitis. J Neuroophthalmol. 2009;29:203–207.
- Maitland CG, Miller NR. Neuroretinitis. Arch Ophthalmol. 1984;102:1146–1150.
- Giladi M, Ephros M. Chapter 167: Bartonella Infections, Including Cat-Scratch Disease. In: Jameson JL, Kasper DL, Longo DL, Fauci AS, Hauser SL, Loscalzo J. Harrison’s Principles of Internal Medicine, 20th Edition. McGraw-Hill Education; 2018..
- Baranowski, K, Huang B. “Cat Scratch Disease.” In: StatPearls [Internet], Treasure Island (FL): StatPearls Publishing; 2021 Jan 2020 Jun 23..
- Centers for Disease Control and Prevention (CDC). Bartonella Infection (Cat Scratch Disease, Trench Fever, and Carrión’s Disease). Available at https://www.cdc.gov/bartonella/index.html ; accessed April 13, 2021.







