Physcians who specialize in the vitreous and retina are often presented with familial conditions affecting the visual pathway. Evaluation may involve multiple dimensions, including genealogy, genetics testing, physical examination, obtaining medical history, multimodal imaging, and electroretinography. There are numerous collaborators and colleagues who may play vital roles in their contribution. Ultimately, it may be the duty of retina specialists to be at the center of this effort, as they are best positioned to compile all of the available details and speak in a language that patients and their family will understand.
With the advent of adenovirus viral vector (AVV) technology and its use in human embryonic kidney 293 cell lines leading to the first FDA-approved therapy for a genetic retinal degeneration, namely biallelic Leber congenital amaurosis in the form of Voretigene neparvovec-ryzl (Luxturna, Spark Therapeutics), the stakes have been raised.1 While expectant management and counseling have been the norm since the first description of an inherited retinal degeneration in 1855, for the first time treatments may become available for a wide variety of conditions.2
A CASE EXAMPLE
As may be typical for patients with a suspected inherited retinal condition, this is a 54-year-old female who was informed when she was in her 20s that she has retinitis pigmentosa. She was inspired to make her first visit to an eyecare provider upon noticing that when she occluded her left eye, she couldn’t see her passenger-side mirror. Since that time, she was simply observed; however, when her right eye became so blurry that she could no longer define the details of her hand using her right eye, she asked for any potential therapies or clinical trials, and was referred to the retina clinic.
Further history was obtained, revealing that when she was a teenager, she would have to ask her father to speak loudly, otherwise she would get into trouble for not completing household chores. Later, she broke her elbow from a ground-level fall from a stairway that she did not see in her peripheral vision. Her primary care physician noted the combination of poor peripheral vision and poor hearing, and referred the patient to an audiologist. This was when she received her first hearing aids, and has used them ever since. Her hearing has not changed in the intervening decades. She was also evaluated and has since been treated by a physical therapist and occupational therapist, both of whom have assisted her with ambulation. She continues to see them even to this day.
She reported that she has three daughters; one of them has hearing aids, and none have undergone any intraocular examination to her knowledge. Her mother died when she was 20, and prior to her death used spectacles. The events of her death were suspect: She was in a motor vehicle accident, and it was speculated that she missed seeing an oncoming vehicle in her peripheral vision. One of her maternal cousins has difficulty with vision and hearing. The clinical and functional status of other maternal family members is unknown. Her father is still alive and, to her knowledge, he has excellent vision, has been examined, and no findings have been communicated to the patient.
She does not and has never used any medication. She is fully vaccinated and has no history of cancer or been exposed to radiation. She noted that when she was 30, she could no longer see the stars in the sky at nighttime. She also noted many photopsias around the same time she developed visual symptoms. She does not leave her house at dusk out of concern that she may injure herself.
Her measured acuity was HM OD and CF OS and intraocular pressure was 16 OD and 17 OS. She had mild nuclear sclerotic cataracts without posterior sclerosis. There were no signs of inflammation, including cell or flare in either eye in the anterior chamber or anterior vitreous.
Her iris, trabecular meshwork, cornea, and adnexa were appropriate for her age in both eyes. She was unable to participate in visual field testing by confrontation in her right eye; fields were significantly constricted in the left.
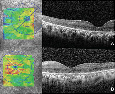
Examination of the posterior segment revealed diffuse and significant retinal atrophy involving the entire periphery and macula in the right eye. There were nearly identical findings in the left eye, not significantly sparing parts of the fovea. The retinal vasculature was severely attenuated in both retinas; there were bone spicules present and mild optic nerve pallor OU (Figures 1 and 2). Optical coherence tomography (OCT) testing revealed that the inner and outer segments were largely attenuated OU (Figure 3).
IMPRESSION
With the combination of history of present illness, family history, auditory, and retinal findings, clinical suspicion had increased for Usher syndrome. Genetics testing was obtained. She was found to be heterozygous in USH2A with a missesnse variant Cys3267Arg in one allele and frameshift variant Glu767Serfs*21 in the other. Since a final diagnosis of type 2 Usher syndrome was made, the patient was referred to a local academic medical center, where ongoing clinical trials are taking place.
USHER SYNDROME
The condition is defined as autosomal recessive deafness (commonly congenital) with retinal findings that are clinically indistinguishable from typical retinitis pigmentosa. Credit for discovering this condition as a unique heredity and constellation of symptoms is given to the British ophthalmologist Charles Usher.3 It has been estimated that the condition’s incidence is somewhere between 1.8 and 6.2 cases per 100,000, though this figure is being refined from other reviews.4 About 50% of those who are born deaf and blind have Usher syndrome.
There are three clinically distinct groups whose diagnosis has been defined by the Usher Consortium. The most common is type 1, in which patients have profound sensorineural deafness and resultant pre-lingual speech impairments, vestibular symptoms, and childhood-onset retinopathy. In type 2, there is partial and nonprogressive deafness, absent vestibular symptoms, and late retinopathy. Type 3 results in progressive deafness starting in the second to fourth decades, adult-onset retinopathy, and hypermetropic astigmatism. It is most common for those with type 3 to be of Finnish descent.5-7
Among the symptoms present in Usher syndrome, vestibular dysfunction is the earliest. In infancy, patients manifest a delay in motor development. Almost all children with type 1 fail to walk before the age of 18 months.8 As they reach their teenage years, these same patients invariably report new symptoms or show signs of nyctalopia, whereas in types 2 and 3, these symptoms develop later in life, up to the third decade. Visual acuity follows a similar pattern with type 1 patients developing earlier vision loss than those in type 2. Approximately 70% of those with type 1 maintained 20/200 acuity at age 40, while 95% those of a similar age group retained the same vision in type 2. There is no increased incidence of posterior subcapsular cataract in one group more than another.9 Since type 3 is so rare, no such comparative studies have been conducted. Results from electroretinography follow the above trends in visual symptoms, with type 2 being less likely to be detected as compared with type 1 in comparable age groups early in life.
As there is yet no defined or specific therapy, the role of a physician in making a diagnosis is to create an opportunity for families and patients to plan ahead by signaling the need for educational and sociopsychologic intervention to foster independence and productivity. Additionally, cochlear implantation has been successful in allowing patients with all types of Usher syndrome to gain improved hearing. Therefore, an undiagnosed child may benefit from early detection.
Other conditions that must be considered at the time a clinician finds impaired hearing and retinitis pigmentosa-like retinal findings include: infantile Refsum disease (also called infantile phytanic acid storage disease), adult Refsum disease, Cockayne syndrome, Bardet-Biedl syndrome (BBS), Alström syndrome, Flynn-Aird syndrome, Friedreich ataxia, and Kearns-Sayre syndrome. NRP
REFERENCES
- Russell S, Bennett J, Wellman JA, et al. Efficacy and safety of voretigene neparvovec (AAV2-hRPE65v2) in patients with RPE65-mediated inherited retinal dystrophy: a randomised, controlled, open-label, phase 3 trial. Lancet. 2017;390(10097):849-860.
- Donders FC. Torpeur de la rétine congénital e héréditarie. Ann Ocul (Paris) 1855;34:270-273.
- Usher C. On the inheritance of retinitis pigmentosa with notes of cases. R Lond Ophthalmol Hosp Rep 1914;19:130:236.
- Hope CI, Bundey S, Proops D, Fielder AR. Usher syndrome in the city of Birmingham—prevalence and clinical classification. Br J Ophthalmol. 1997;81:46-51.
- Pakarinen L, Karjalainen S, Simola KOJ, Laippala P, Kaitalo H. Usher’s syndrome type 3 in Finland. Laryngoscope. 1995;105:613-617.
- Pakarinen L, Tuppurainen K, Laippala P, Mäntyjärvi M, Puhakka H. The ophthalmological course of Usher syndrome type III. Int Ophthalmol. 1996;19(5):307-311.
- Fishman GA, Kumar A, Joseph ME, Torok N, Anderson RJ. Usher’s syndrome: ophthalmic and neuro-otologic findings suggesting genetic heterogeneity. Arch Ophthalmol. 1983;101(9):1367-1374.
- Loundon N, Marlin S, Busquet D, et al. Usher syndrome and cochlear implantation. Otol Neurotol. 2003;24:216-221.
- Piazza L, Fishman GA, Farber M, Derlacki D, Anderson RJ. Visual acuity loss in patients with Usher’s syndrome. Arch Ophthalmol. 1986;104(9):1336-1339.







